Zytologie der Zervix
Bei den sogenannten Krebsabstrichen (am Muttermund) werden, nach verschiedenen Wertigkeitsgraden, Unterscheidungen bei der Beurteilung vorgenommen. Einteilung nach Papanicolaou (Arzt und Begründer des Pap-Abstrichs- Krebsabstrich USA 1948).
Details zu dieser Untersuchung sind in der Krebsfrüherkennungs-Richtlinie geregelt. Die Beurteilung erfolgt anhand der Münchner Nomenklatur III. Ab dem 01.01.2020 haben sich mit der Einführung des Primärscreenings Co-Testing (PAP+HPV) die Modalitäten bei der Beurteilung sowie der daraus sich ergebenen Maßnahmen stark geändert.
| Bei gutartigen unauffälligen Pap-Abstrichen wird der Grad I bis Grad II diagnostiziert. | ![]() |
| Grad II | |
|
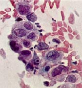
Bei Zellveränderungen in den oberen und mittleren Zellschichten kommt es zum Grad III D, wobei diese Phase oft rückbildungsfähig ist. |
|
![]() |
![]() |
| Grad III D | Grad III D |
| Bei weiterer Veränderung an den Zellkernen kann es zu schweren Zellveränderungen kommen, die aber insgesamt noch keinen Krebs bedeuten, aber als unmittelbare Vorstufe dazu anzusehen sind. Hierbei muß meistens eine Gewebeprobe zur Abklärung entnommen werden (Grad IVa). | ![]() |
| Grad IVa | |
| Bei weiterer Verschlechterung des Zellbildes mit Beteiligung auch des umliegenden Gewebes kommt es dann zur frühen Krebserkrankung, die auch im sehr frühen Stadium bei regelmäßiger Vorsorge entdeckt werden kann. Hier sind dann operative Maßnahmen zur Klärung und Therapie des Befundes erforderlich (Grad V). | ![]() |
| Grad V | |
| Im Prinzip gelten ähnliche Beurteilungskriterien bei den anderen oben genannten Zellabstrichen anderer Organbereiche. | |
Im Nachfolgenden Übersichten über die Abklärungsalgorithmen in Abhängigkeit der Altersgruppen und der Untersuchungsergebnisse mit Hinweisen auf dann empfohlenen weiteren Vorgehensweisen.
Abklärungsalgorithmus 20-34 Jahre
PAP I
-> Zytologie Jährlich
Gruppe II-p, II-g, IIID1
bis Alter 29 Jahre
Persistenz über 24 Monate
-> Abklärungskolposkopie (innerhalb von 3 Monaten)
Mindestens Gruppe IIID2
-> Abklärungskolposkopie (innerhalb von 3 Monaten)
ab Alter 30 Jahre
nach 6-12 Monaten HPV-Test, bei positivem HPV Test
-> Abklärungskolposkopie (innerhalb von 3 Monaten)
Alter 20-34 Jahre
Gruppe III-P, IIIG, IIID2
unabhängig vom HPV Test
-> Abklärungskolposkopie (innerhalb von 3 Monaten)
Gruppe IV,V
unabhängig vom HPV-Test
-> Abklärungskolposkopie (unverzüglich)
Abklärungsalgorithmus ab 35 Jahre
PAP I,II-P,II-G
HPV-negativ
-> Primärscreening ( KV nach 36 Monate)
PAP I
HPV-positiv
-> Co- Testing (nach 12 Monaten)
-> mindestens PAP II-P oder HPV positiv
-> Abklärungskolposkopie
PAP II-P,II-G,IIID1
HPV-positiv
-> Abklärungskolposkopie (innerhalb von 3 Monaten)
PAP IIID1
HPV-negativ
-> Co Testing nach 12 Monaten
-> mindestens PAP II-P oder HPV positiv
-> Abklärungskolposkopie
PAP III-p, III-g, IIID2
unabhängig vom HPV-Status
-> Abklärungskolposkopie (innerhalb von 3 Monaten)
PAP IV, V
unabhängig vom HPV-Status
-> Abklärungskolposkopie (unverzüglich)
Zurück zu Zytologische Untersuchungen
![]() |
![]() |
![]() |
||
Unser Labor |
Zytologie HPV-Diagnostik P16 Plus Ki67 |
Fahrdienst Datenübertragung Online-Bestellservice Recall-System |











